O sorriso que você sonha do jeito que você quer!

O próximo sorriso a ser transformado pode ser o seu!

Desde movimentações dentais simples até os casos mais complexos, a tecnologia da U ALIGNER pode te ajudar a atingir seus objetivos clínicos.

Seu novo sorriso está mais perto do que você imagina!

Você poderá sentir pequenas mudanças logo nos primeiros alinhadores, mas o tempo exato do seu tratamento depende da complexidade do diagnóstico.

Alguns casos podem ser concluídos em até 6 meses!

Vantagens de usar U Aligner

Cada vez mais pacientes e ortodontistas preferem os alinhadores transparentes ao invés do tradicionais fios e bráquetes para corrigir a má oclusão.
Eficientes

Os alinhadores oferecem soluções para as mais diferentes formas de má oclusão.

COnfortáveis

Se adaptam facilmente a sua arcada dentária, tornando-se mais confortáveis e sem machucar ou incomodar.

Removíveis

Você pode retirar os alinhadores toda vez que precisar, seja para comer, escvar os dentes ou praticar algum esporte.

transparentes

Discretos, eles revelam seu sorriso sem que as pessoas percebam que você está usando.

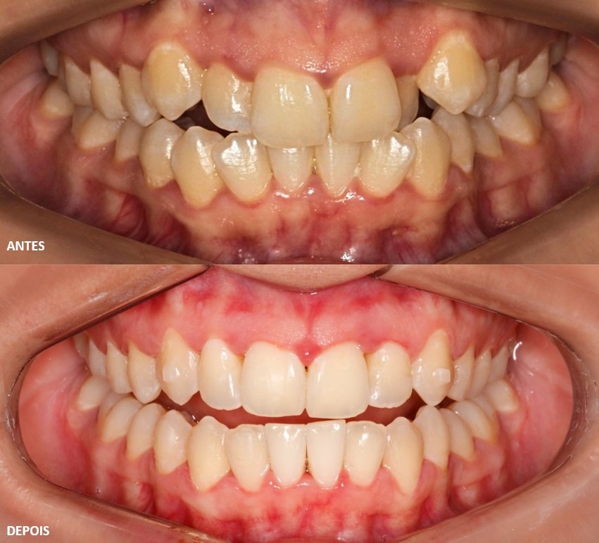
Resultados

Os alinhadores invisíveis da U Aligner são indicados para diversos casos de má oclusão, desde tentes apinhados, diastema e até prognatismo!
Os resultados podem ser percebidos já nos primeiros meses de tratamento:

4 meses de tratamento

1 ano e 5 meses de tratamento

Nos acompanhe nas nossas redes sociais: